Eine Valgusdeformität der Großzehe betrifft am häufigsten Frauen im reifen Alter, aber auch Männer. Eine deformierte Daumenbasis sieht ästhetisch nicht ansprechend aus. In diesem Fall verspürt die Person körperliche Beschwerden und im fortgeschrittenen Stadium Schmerzen. Eine Abweichung des großen Zehs ist die Folge einer ungleichmäßigen Körperbelastung des Fußes. Diese Veränderungen wirken sich nachteilig auf die Füße und andere Zehen aus.
Ursachen der Krümmung

Ein Hallux valgus entsteht nicht ohne ersichtlichen Grund. Diese Pathologie erscheint und entwickelt sich unter dem Einfluss verschiedener Gründe. Hallux valgus betrifft am häufigsten Menschen, die genetisch für diese Krankheit prädisponiert sind. Ärzte weisen auf die folgenden Ursachen für die Deformität einer Zehe hin:
- Übergewicht.
- Endokrine Erkrankungen.
- Osteoporose.
- Plattfüße.
- Diabetes mellitus.
- Schuppenflechte.
- Arthritis.
- Hormonelle Veränderungen während der Schwangerschaft und im Alter.
- Tragen Sie enge Schuhe.
- Die Besonderheit des Berufs, die eine Person dazu zwingt, jeden Tag eine größere körperliche Aktivität in den Beinen zu ertragen.
Stufen und Sorten
Ärzte betrachten 3 Stadien des Krankheitsverlaufs:
- Subtile Valgusabweichung. Es treten Rötungen der Haut sowie kleine Abschürfungen auf. Beschwerden beim Gehen.
- Am Daumen ist bereits deutlich ein Wachstum zu erkennen. Es werden Schwellungen und Schmerzen beobachtet.
- Diese Form der Erkrankung gilt als fortgeschritten. Eine Person leidet unter ständigen, unerträglichen Schmerzen im großen Zeh und im gesamten Fuß sowie dem Auftreten von verhornter Haut. Auch im Schlaf verschwinden die Schmerzen nicht.
Die Entstehung eines unangenehmen Hallux valgus wird von vielen Faktoren beeinflusst. Experten haben die folgenden Arten von Fingerdeformitäten als eigene Kategorie identifiziert:
- Kreuzdeformität. Die Krümmung erfolgt in verschiedene Richtungen. Wir drücken die Daumen.
- Krümmung der Gelenke so weit, dass sie sich immer in einer gebeugten Position befinden. Im ersten Stadium der Entwicklung der Pathologie können die Finger mit Hilfe der Hände zum Strecken gezwungen werden. Wenn zu diesem Zeitpunkt nicht mit der Behandlung begonnen wird, werden Ihre Finger so steif, dass Sie sie nicht mehr mit den Händen strecken können. Jetzt ist es unmöglich, auf eine Operation zu verzichten.
- Taylors Deformität. Pathologie, die die Finger betrifft. Gekennzeichnet durch das Auftreten einer Wucherung an den Knochen.
- Krümmung der Phalangen, ähnlich wie bei Haken.

Zu den Experten zählen Tänzer, bei denen das Risiko besteht, einen Hallux valgus zu entwickeln. Tanzen auf den Zehen erhöht die Belastung Ihrer Zehen und führt dazu, dass sie sich kräuseln. Auch eine falsche Übersetzung kann zu unerwünschten Ergebnissen führen. Provozierende Faktoren verschlimmern sich sogar mit zunehmendem Alter.
Diagnosemethoden
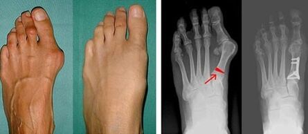
Wenn die visuelle Untersuchung und das Röntgen keine Ergebnisse liefern, wird der Patient zur Plantographie überwiesen, um mögliche Plattfüße festzustellen. Bei dieser Methode werden Fußabdrücke genommen, aus denen für den Patienten Schuhe oder Einlagen mit orthopädischen Eigenschaften angefertigt werden. Anschließend wird dem Patienten eine Pädometrie verschrieben. Diese Methode nutzt eine Computeranalyse, um den Gewichtsdruck einer Person auf ihre Füße zu bestimmen. Die Ergebnisse der fortgeschrittenen Diagnostik sind die Grundlage für die Wahl einer Behandlungsmethode bei der Krümmung des ersten und zweiten Fingers.
Der Nachteil der Röntgenuntersuchung ist die Notwendigkeit, die Beine des Patienten zu bestrahlen, was vielen Patienten nicht gefällt. Sie halten dies für eine zu schädliche Methode. In diesem Sinne kann eine wirksame Behandlung des Hallux valgus nicht ohne die Ergebnisse der Plantographie begonnen werden.

Dies ist die aussagekräftigste Diagnosemethode. Mit seiner Hilfe stellt der Arzt nicht nur das Vorliegen von Plattfüßen fest, sondern auch den Zustand des Fußgewölbes. Die Computeruntersuchung ist die effektivste Methode zur Erkennung von Plattfüßen.
Im ersten Schritt zur Feststellung der Valgusstellung des großen Zehs und des kleinen Fingers führt der Arzt eine visuelle Untersuchung durch. Auf diese Weise wird der Entwicklungsstand der Pathologie bestimmt. Um detaillierte Gelenkveränderungen zu erkennen, sind Röntgenaufnahmen und Plantographie vorgeschrieben.
Medikamentöse Therapie
Es ist besser, mit der sanften Behandlung des Fußes und des großen Zehs zu beginnen, bevor das letzte Entwicklungsstadium der Pathologie erreicht ist. Experten wissen, wie man diese Pathologie behandelt, aber sie wissen nicht, wie man die fortgeschrittene Form der Krankheit ohne chirurgischen Eingriff heilen kann. Zunächst ermitteln Ärzte die Ursache der Fingerkrümmung sowie das Vorhandensein von Faktoren, die die Situation erschweren. Zu den Aufgaben der Pharmakotherapie gehört bekanntlich auch die symptomatische Therapie. Dadurch werden Schmerzen, Entzündungen und Schwellungen beseitigt.
Am häufigsten werden den Patienten nichtsteroidale entzündungshemmende Medikamente verschrieben. Neben ihrer Hauptfunktion reduzieren sie Schmerzen und Fieber. Wenn Komplikationen auftreten, werden häufig hormonelle Kortikosteroide verschrieben. Wenn die Verformung der Finger durch Erkrankungen der inneren Organe verursacht wird, können die Gelenke nach Heilung der zugrunde liegenden Pathologie korrigiert werden. In diesem Fall greifen Endokrinologen gemeinsam mit anderen hochspezialisierten Spezialisten in das Problem ein. Viele Menschen versuchen, sich mit Hausmitteln zu heilen, vergessen dabei, dass dies nur im Anfangsstadium der Entwicklung der Pathologie möglich ist.
Wenn die Pathologie im Anfangsstadium bemerkt wird, wird der krumme Daumen mit Hilfe von Geräten geglättet: Kunststoff- oder Silikonpolster mit orthopädischen Eigenschaften. Während der Behandlung sollten weiche, geräumige Schuhe getragen werden. Orthopädische Einlagen, Fußgewölbestützen und andere Korrekturmittel werden verwendet, um krumme Zehen zu glätten. Deformierte Finger werden mit speziellen Schienen, Ringen, Kappen und Kämmen fixiert. Mit Hilfe solcher Geräte werden die Finger in der richtigen Position fixiert. Dank orthopädischer Fixateure wird die Entwicklung einer weiteren Verformung der Finger gestoppt.
Es gibt zwei Möglichkeiten, den Hallux valgus zu behandeln. Das erste ist eine schmerzlose Korrektur der Deformität, die keinen chirurgischen Eingriff oder keine Rehabilitation erfordert, das zweite ist eine chirurgische Behandlung.
Chirurgische Behandlungsmethoden

Eine vollständige Heilung des Hallux valgus ist nur mit Hilfe des Skalpells eines Chirurgen möglich. Manchmal reicht eine einzige Operation und der Patient vergisst das Problem für immer. Der Arzt führt den chirurgischen Eingriff unter Berücksichtigung der Art der Hallux-valgus-Deformität durch. Die häufigsten Arten von Operationen sind:
- Exostektomie. Es wird nur ein bestimmter Teil des Mittelfußknochens entfernt.
- Resektionsarthroplastik. Der letzte Teil des Mittelfußknochens wird entfernt.
- Osteotomie. Es wird verwendet, um den Mittelfußknochen sowie einen kleinen Teil der Phalanx zu entfernen.
- Resektion. Ziel der Operation ist es, die betroffenen Weichteile zu entfernen und an ihrer Stelle gesundes Gewebe zu transplantieren.
- Arthrodese. Sorgt für erzwungene Immobilität der Gelenke.
- Distale Osteotomie. Die Operation besteht darin, den Winkel zwischen den Gelenken zu verringern.
- Entfernung des entzündeten Schleimbeutels der Großzehe.
- Implantatinstallation.
Die Rehabilitationszeit nach der Operation kann bis zu sieben Wochen dauern. In diesen wenigen Wochen werden in der Regel besondere Vorsorgemaßnahmen durchgeführt. Dies sind vor allem therapeutische Übungen, die Folgendes begünstigen:
- den Gesundheitszustand verbessern;
- Schmerzen beim Gehen reduzieren;
- den Tonus der Beinmuskulatur erhöhen;
- Einbau und Fixierung des deformierten Gelenks in seiner natürlichen Position.
Die Länge der Rehabilitationszeit hängt in der Regel von der Komplexität der Operation ab. Um die Genesung zu beschleunigen, sollten Sie am nächsten Tag mit der Bewegung Ihrer Finger beginnen. Nach einer Woche kann der Patient aufstehen und sich unter Vorsichtsmaßnahmen langsam bewegen. Die Hauptsache ist, anhaltenden Stress zu vermeiden.
Nach der Operation benötigen Sie hochwertige, geräumige und weiche Schuhe. Der Kauf erfolgt auf Empfehlung eines Arztes. Wenn Sie bereits zu Beginn der Entstehung des Hallux valgus mit therapeutischen Übungen beginnen, können Sie übrigens nicht nur auf einen chirurgischen Eingriff verzichten, sondern auch auf die Ausgaben für diverse Geräte, Salben und Medikamente.
Experten sagen, dass die chirurgische Behandlungsoption fast hundertprozentig positive Ergebnisse liefert. Diese schonende Behandlungsmethode erfordert keine Narkose und verursacht weder Stress noch psychische Belastungen. Allerdings können schmerzfreie Behandlungsmethoden einen Menschen nicht vor dem letzten Stadium der Krankheit retten.
Vorbeugende Maßnahmen

Vorbeugende Maßnahmen sind ganz einfach: Tragen Sie bequeme Schuhe mit breiter Spitze, deren Innenseite keinen Druck auf die Zehen ausübt. Die Gelenke im Besonderen und die Füße im Allgemeinen sind in der Lage, das während des menschlichen Wachstums angesammelte Gewicht zu tragen, ohne Schaden zu nehmen. Daher ist es sehr wichtig, das Körpergewicht zu kontrollieren, um Fettleibigkeit zu vermeiden.
Eine der wirksamsten vorbeugenden Übungen ist die folgende: Eine Person, die mit den Füßen auf dem Boden auf einem Stuhl sitzt, bewegt sie mit den Fingern.
Die nächste Übung besteht darin, barfuß auf dem Boden zu laufen, abwechselnd auf Zehen und Fersen.
Einfache Gymnastik wird schnell gemeistert, was zu komplexeren Körperübungen führt. Anschließend können Sie Aktionen ausführen, z. B. einen Bleistift oder einen anderen Gegenstand vom Boden aufheben.
Es ist besser, einer Verformung des Daumens vorzubeugen, als in medizinischen Einrichtungen Schlange zu stehen, um ärztliche Empfehlungen zur Auswahl einer wirksamen Behandlung zu erhalten.























